Випадок липня: лейоміома з недостатністю фумарат-гідратази
29.07.2022

Повертаючись до рубрики “випадок місяця”, хочемо звернути увагу на так звані “рутинні діагнози” в практиці патолога. Тому, що за “рутинними діагнозами” час від часу ховаються рідкісні та клінічно значущі нозології.
Про лейоміому з недостатністю фумарат-гідратази – важливу нозологію в гінекологічній патології, розповіла лікар-патологоанатом CSD Тетяна Соболєва.
Лейоміома – дуже поширений діагноз серед утворень тіла матки. Проте, коли патологи стикаються з незвичними морфологічними ознаками в таких пухлинах, наприклад з вираженою цитологічною атипією, наша задача стає складнішою. І в першу чергу, це виключення злоякісних пухлин, зокрема, лейоміосаркоми. Що ж допомагає нам дійти правильного висновку?

Почнемо з базових клінічних даних. Матеріал був отриманий під час видалення пухлини тіла матки у жінки 30 років з клінічним діагнозом “лейоміома тіла матки”.

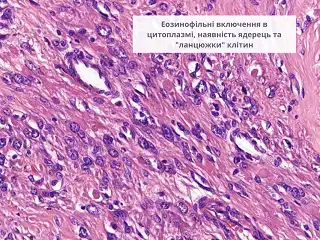
Патологи одразу звернуть увагу на наявність цитологічної атипії в клітинах пухлини, проте, інші важливі ознаки злоякісного новоутворення – мітози або некрози відсутні.
Але можна помітити такі особливості будови:
наявність численних розгалужених судин
еозинофільні ядерця в клітинах пухлини
яскраво-еозинофільні включення в цитоплазмі
формування “ланцюжків” з пухлинних клітин
ділянки набряку в стромі
Для з’ясування природи пухлини ми використовуємо імуногістохімічне дослідження – позитивна реакція на гладеньком’язовий актин альфа, десмін та високомолекулярний кальдесмон вказують на походження пухлини з гладеньких міоцитів. Сукупно з втратою експресії фумарат-гідратази всі ці ознаки підводять нас до діагнозу лейоміоми з недостатністю фумарат-гідратази.


В чому ж її особливість? До розвитку таких лейоміом призводить мутація в гені фумарат-гідратази. Спадкова мутація у відповідному гені пов’язана з синдромом HLRCC – синдромом спадкового лейоміоматозу та нирково-клітинного раку.
Для оцінки ризику розвитку раку нирки надзвичайно важливо знати, чи є мутація спадковою (тобто пов’язаною з даним синдромом) або соматичною (коли ризики розвитку раку нирки не вище, ніж в інших пацієнтів). Морфологічні ознаки та результати імуногістохімічного дослідження не можуть дати однозначної відповіді, проте, вони дозволяють скерувати пацієнтів з групи високого ризику на генетичний скринінг.
Останні новини


