Випадок місяця: Т-клітинна лімфома тонкої кишки, асоційована з ентеропатією
30.11.2022

Периферичні Т-клітинні лімфоми зустрічаються рідко і являють собою групу гетерогенних захворювань, що різняться за клінічним перебігом та прогнозом, їх діагностика дуже часто є викликом для патолога і має проводитися із залученням спеціаліста, який має відповідний досвід і може застосувати специфічну панель імуногістохімічних маркерів для типування лімфоми.
У випадку ж інтестинальної Т-клітинної лімфоми, асоційованої з ентеропатією, для встановлення коректного діагнозу необхідна також обізнаність з морфологією патологічних процесів шлунково-кишкового тракту.
Цей тип лімфомивідноситься до групи агресивних первинних інтестинальнихлімфом і складає менше ніж 5% від усіх первинних лімфом шлунково-кишкового тракту та близько 3% від усіх периферичнихТ-клітинних лімфом. Особливістю її розвитку є асоціація зцеліакією – аутоімуннимрозладом, що розвивається угенетично схильних до нього осіб після вживання продуктів, які містять глютен.Внаслідок цього розладу відбувається пошкодження слизової оболонки тонкої кишки інтраепітеліальнимилімфоцитами, з яких, як вважається, розвивається дана лімфома. Однак у значної частини пацієнтів (до 58% за даними деяких досліджень) діагноз целіакії встановлюється одночасно з або навіть після встановлення діагнозу лімфоми.

Цей тип лімфомивідноситься до групи агресивних первинних інтестинальнихлімфом і складає менше ніж 5% від усіх первинних лімфом шлунково-кишкового тракту та близько 3% від усіх периферичнихТ-клітинних лімфом. Особливістю її розвитку є асоціація зцеліакією – аутоімуннимрозладом, що розвивається угенетично схильних до нього осіб після вживання продуктів, які містять глютен.Внаслідок цього розладу відбувається пошкодження слизової оболонки тонкої кишки інтраепітеліальнимилімфоцитами, з яких, як вважається, розвивається дана лімфома. Однак у значної частини пацієнтів (до 58% за даними деяких досліджень) діагноз целіакії встановлюється одночасно з або навіть після встановлення діагнозу лімфоми.
У представленому випадку до лабораторії надійшов операційний матеріал пацієнтки 57 років з клінічним діагнозом «Пухлина брижі тонкої кишки, що поширюється у заочеревинний простір (Лімфома? Гастроінтестинальнастромальна пухлина?)».
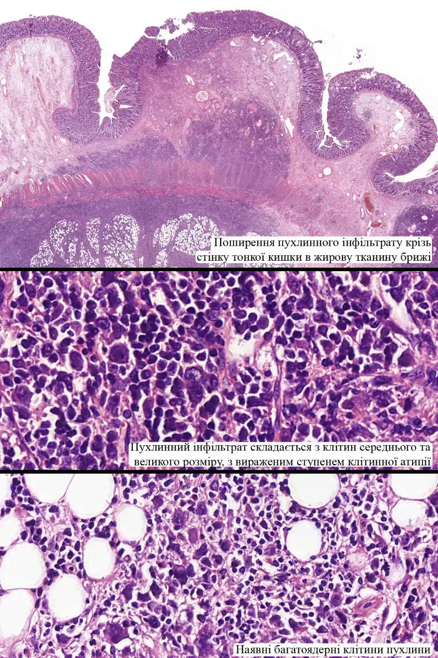
Під час макроскопічного дослідження у брижі тонкої кишки знайдено пухлинну масу, що залучає стінку кишки та лімфатичні вузли, тонка кишка у ділянці пухлини маєперфорацію з утворенням міжпетельного абсцесу (слід зазначити, що майже у половини пацієнтів ця лімфома маніфестує саме симптомами, пов’язаними з кишковою непрохідністю або перфорацією).
При мікроскопічному дослідженні пухлина представлена інфільтратом, що складається з пластів атипових лімфоїдихклітин середнього та великого розміру з поліморфнимиядрами, також наявні багатоядерні клітини. Визначаються мітотичні фігури та апоптотичні тільця.

За результатами імуногістохімічногодослідження клітини пухлини позитивні на CD3, CD8, перфорин іTCRα, і негативні на CD4, CD20, CD56, що підтверджує диференціювання клітин пухлини за типом цитотоксичних Т-лімфоцитів. Також клітини пухлини позитивні на CD30, що у даному випадку є важливим для визначення тактики подальшого лікування пацієнта. Приблизно 60% клітин пухлини позитивні на маркер проліферації Кі-67.
Окрім цього, дана пухлина є негативною на гранзим В, ТІА-1, TCRδ, CD103, ALK (не показані на фото).

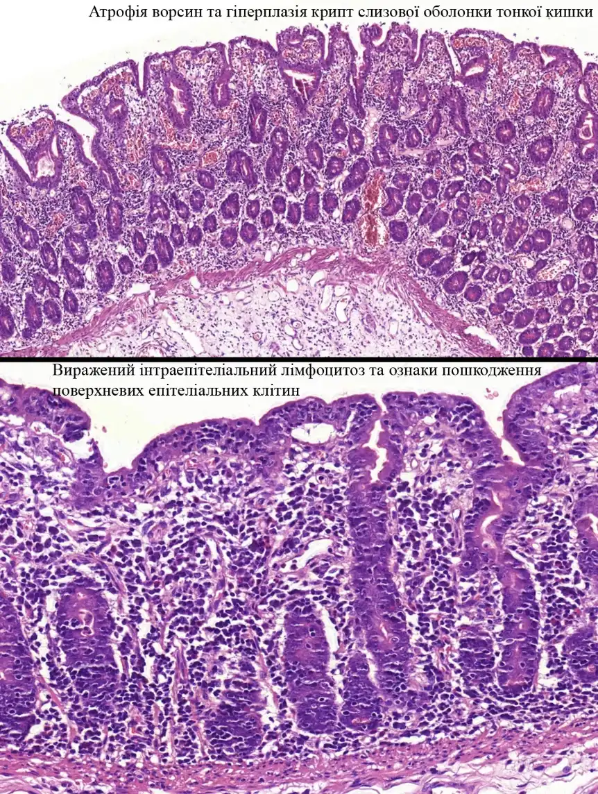
У слизовій оболонці тонкої кишки поза межами пухлини спостерігаються класичні морфологічні ознаки целіакії: підвищення рівня лімфоїдної інфільтрації у стромі власної пластинки, майже повна атрофія ворсин, гіперплазія крипт, а також виражена інтраепітеліальнаінфільтрація малими лімфоцитами і ознаки пошкодження епітелію слизової оболонки.
Наявність морфологічних змін, характерних для целіакії, у поєднанні з морфологією та імунопрофілем пухлини тонкої кишки дозволяють встановити діагноз Т-клітинної лімфоми, асоційованої з ентеропатією, CD30-позитивної.
Встановлення вірного діагнозу в цьому випадку стало можливим завдяки об'єднанню досвіду і навичок патологів, які спеціалізуються на патології органів травної системи, та патологів зі спеціалізацією на діагностиці лімфопроліферативних захворювань.
Останні новини


