Случай месяца: Первичная ангиосаркома молочной железы
28.02.2023
Ангиосаркома составляет менее 0,05% от первичных злокачественных образований молочной железы, однако, является самой частой саркомой грудной железы.

Встречаются в двух формах: первичная и послелучевая. Обе имеют много общих признаков, но различаются в определенных клинических, иммуногистохимических и терапевтических аспектах.
Средний возраст пациенток с первичной ангиосаркомой составляет 40 лет. Опухоль имеет высокую частоту местных рецидивов, по сравнению с послелучевыми ангиосаркомами, отдаленных метастазов. Чаще всего опухоль метастазирует в легкие, кожу, кости, печень.
В лабораторию поступил материал секторальной резекции молочной железы пациентки 43 лет с клиническим диагнозом «Очаговый фиброаденоматоз правой молочной железы». В анамнезе лучевая терапия отсутствует.
При макроскопическом исследовании материала ткань сектора молочной железы была представлена фиброзной тканью без четких границ и узловых образований.
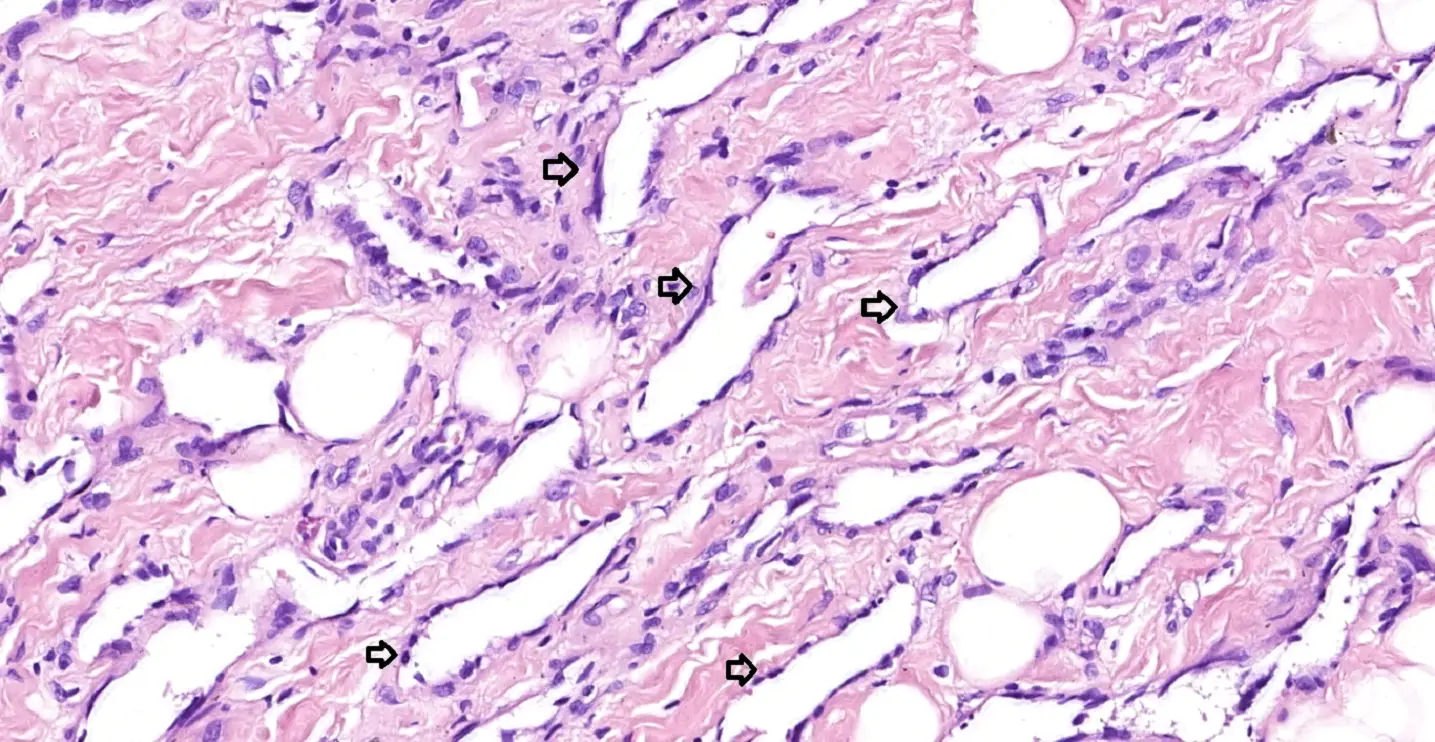
При микроскопическом исследовании ткань железы представлена многочисленными анастомозирующими щелевидными полостями, диффузно инфильтрирующими железистую и жировую ткань молочной железы. Полости выстланы несколько уплощенным эндотелием, ядра эндотелиальных клеток гиперхромные, фигуры митозов в них единичны. Признаков формирования папиллярных выпячиваний эндотелия в просвет сосудов, формирования солидных участков опухоли не определялось. Опухолевые сосуды определяются в интралобулярной строме, что является важным моментом в диагностике первичных ангиосарком молочной железы.
Ангиосаркомы молочной железы, в отличие от ангиосарком мягких тканей, градуируются по трехуровневой системе градации. По степени злокачественности представленная опухоль является G1.

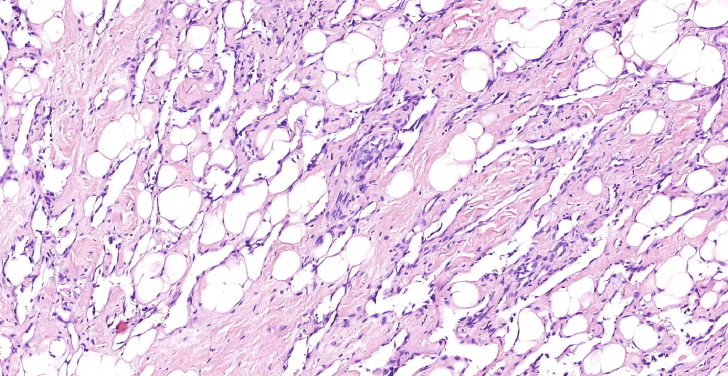
Рис. 1. Просветы сосудов имеют вытянутую, сдавленную или узловатую форму. Сосуды диффузно расположены в паренхиме молочной железы.

Рис.2 Сеть разветвленных тонкостенных сосудов, анастомозирующих между собой.

Рис. 3. Стрелками отмечены просветы опухолевых сосудов. Эндотелиальные клетки уплощены, ядра незаметны, можно обнаружить клетки с гиперхромными ядрами, ядерная атипия минимальна.
Дифференциальный диагноз, прежде всего, включает гемангиому. Отличить ангиосаркому высокой степени злокачественности от гемангиомы несложно, но опухоли низкой или средней степени злокачественности могут вызвать трудности. Гемангиома - это зрелая опухоль, она состоит из полностью развитых сосудов правильной формы, эндотелий не имеет никаких признаков цитологической атипии.
Методом первичного лечения таких пациентов является мастэктомия. Эффект от адъювантного облучения в первичном лечении ангиосаркомы молочной железы не установлен. Послеоперационное лечение может включать радиотерапию и химиотерапию.
Прогноз данных опухолей является неблагоприятным, однако, ряд исследований показывает взаимосвязь между степенью злокачественности опухоли и 5-летней выживаемостью. Вероятность системного рецидива составляет 50%.
Учитывая, что ангиосаркома является очень агрессивной по течению, каждому патологу необходимо четко знать о возможности наличия этой опухоли в молочной железе, ее микроскопические характеристики. Особенно важно хирургам-маммологам при наличии рака молочной железы в анамнезе, при повторной операции предоставлять патологу информацию относительно облучения, поскольку послелучевые ангиосаркомы встречаются чаще, чем первичные.
Анета Гандрабур
Врач-патологоанатом
Медицинской лаборатории CSD LAB
Последние новости


