Бесплатно со всех номеров

Поиск
Меню

Місяць обізнаності про рак шийки матки: що варто знати кожній жінці?

Місяць обізнаності про рак шийки матки: що варто знати кожній жінці?
Читать 2 минуты
26 января 2026
РШМ

Січень у всьому світі визнаний місяцем обізнаності про рак шийки матки. Це захворювання є одним із найпоширеніших серед жінок, але водночас — одним із тих, які найчастіше можна попередити за умови регулярних профілактичних обстежень.

Цей матеріал підготовлений у рамках співпраці медичної лабораторії CSD LAB і громадської організації «Афіна. Жінки проти раку», яка займається підтримкою жінок з онкологічними захворюваннями. CSD LAB уже кілька років поспіль надає підопічним організації спеціальні знижки на клінічні дослідження онкології.

Медичну інформацію підготували експерти лабораторії цитоморфології CSD LAB, зокрема Ірина Омельяненко — цитоморфолог, докторка філософії.

Чому виникає рак шийки матки?

У більшості випадків рак шийки матки пов’язаний із вірусом папіломи людини (ВПЛ). Це дуже поширений вірус, яким заражається більшість людей, що ведуть статеве життя.

Часто інфекція має безсимптомний перебіг і може зникати сама. У багатьох жінок імунна система самостійно долає вірус, тож він не завдає відчутної шкоди здоров’ю.

Коли ВПЛ стає небезпечним?

Проблема виникає тоді, коли в організмі тривалий час залишаються онкогенні типи ВПЛ. Найчастіше це ВПЛ 16 і 18, а також — 31, 33, 35, 45, 52 і 58.

За тривалої присутності ці типи вірусу можуть поступово викликати ракові зміни в клітинах шийки матки. Вони зазвичай не супроводжуються болем чи іншими вираженими симптомами. Саме тому жінка може почуватися добре й не підозрювати про проблему.

Вчасно помітити зміни та уникнути розвитку серйозного захворювання дозволяє регулярний скринінг.

Чому важливо проходити профілактичні обстеження?

Оскільки рак шийки матки розвивається повільно, впродовж років, його можна виявити ще на ранніх етапах і навіть до того, як проблема перетвориться на онкологічне захворювання.

Для цього існують два основні профілактичні обстеження, які варто проходити регулярно:

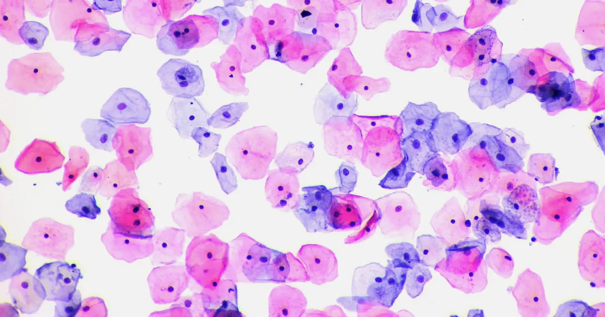
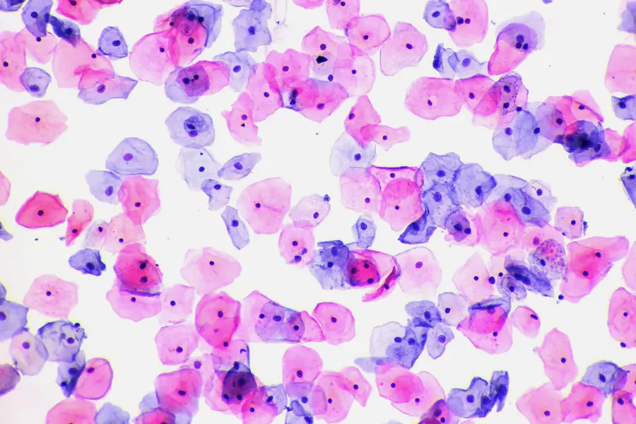
1. ПАП-тест (цитологічне дослідження)

Дозволяє оцінити стан клітин шийки матки та виявити ранні зміни. Рекомендований жінкам з 21 року.

2. Тестування на ВПЛ

Допомагає виявити наявність онкогенних типів вірусу папіломи людини.

Після 30 років його часто проводять разом із ПАП-тестом, адже саме з цього віку тривала наявність ВПЛ є перетворюється на основний фактор ризику.

Вакцинація проти ВПЛ — ще один крок захисту

Вакцинація проти ВПЛ допомагає захистити організм від найнебезпечніших типів вірусу та значно знижує ризик розвитку раку шийки матки.

Вона не може вилікувати вже наявну інфекцію, але є ефективним доповненням до регулярних обстежень і профілактики.

Турбота про здоров’я починається з обізнаності

Регулярні профілактичні обстеження — це простий і доступний спосіб подбати про себе. ПАП-тест і ВПЛ-тестування дають змогу контролювати ситуацію та діяти вчасно, навіть якщо нічого не турбує.

У медичній лабораторії CSD LAB ці дослідження відбуваються відповідно до сучасних міжнародних стандартів якості.

Січень — гарний привід обстежитися: профілактика рятує життя!

Рейтинг статьи: 5 (3 голоса)
РШМ
K334

Комплекс №56 Рідинна цитологія ПАП-тест; ПЛР. Вірус папіломи людини (14 типів ВКР) (Cobas HPV тест затверджений FDA), якісне визначення з генотипуванням 16, 18 та групи з 31, 33, 35, 39, 45, 51, 52, 56, 58, 59, 66, 68 типів (у/г зішкріб)

1 422 грн
РШМ
K476

Комплекс № 476 (Рідинна цитологія ПАП-тест + ПЛР. Вірус папіломи людини (28 типів ВКР та НКР), генотипування, якісне визначення (у/г зішкріб, зішкріб з інших слизових оболонок)) \ N

1 863 грн
Отзывы о статье
Будьте першим, хто залишить відгук.
Напишите отзыв