Випадок місяця: склерозуюча пневмоцитома
30.08.2022

Черговий кейс в рубриці “Випадок місяця”: рідкісна доброякісна пухлина легені - склерозуюча пневмоцитома, про яку розповідає лікар-патологоанатом CSD Людмила Журавльова.
Знання даної нозологічної одиниці є необхідним для кожного лікаря-морфолога, оскільки її часто плутають зі злоякісними пухлинами та, як наслідок, виконують недоцільні лобектомії легені. Однією з особливостей діагностики даної пухлини є складнощі при інтерпретації цитологічних препаратів - в препаратах відсутні характерні архітектурні особливості, а морфологічна картина є вкрай подібною до метастазів карциноми, зокрема метастазу папілярної карциноми щитоподібної залози. Також при виконанні інтраопераційних досліджень при підозрі на аденокарциному легень патоморфолог має включати склерозуючу пневмоцитому в свій диференційний діагноз.
Матеріал було надіслано в лабораторію з клінічним діагнозом “карцинома легень”, пацієнтка - жінка середнього віку, що є типовим для епідеміології даної пухлини.

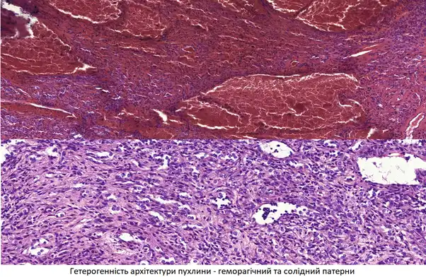
Внаслідок попередньої фрагментації матеріалу оцінити межі утворення досить важко; зазвичай ця пухлина має чіткі межі та не оточена капсулою. Проте одразу помітна типова гетерогенність архітектури: наявні ділянки геморагій, ділянки солідного росту, ділянки подібні до папілярного росту тощо.

По периферії пухлини в тканині легені визначається велика кількість пінистих макрофагів та холестеринових клефт.

Пухлина складається з двох типів клітин:
- поверхневі кубічні клітини, що нагадують альвеолоцити II типу; ці клітини можуть мати виражений плеоморфізм та гіперхромію ядер (диференційний діагноз з аденокарциномою);
- округлі мономорфні клітини, що розташовані в стромі.

Клітини пухлини достатньо мономорфні, фігури мітозу відсутні або вкрай поодинокі, некрозів не визначається. Морфологічна картина є класичною, але враховуючи той факт, що пневмоцитома є достатньо нечастою нозологією в практиці, для верифікації діагнозу було виконане імуногістохімічне дослідження. За його результатами пухлинні клітини мають характерний імунофенотип: клітини обох типів позитивні на маркер TTF-1 (диференційний діагноз знов з аденокарциномою легені), при реакції з маркером CK AE1/AE3 (загальні цитокератини) визначається забарвлення тільки поверхневих кубічних клітин.

Типова морфологічна будова та імунопрофіль пухлини, в сукупності з обізнаностю лікаря-патоморфолога щодо даної нозології дозволяють утриматись від надмірного лікування пацієнта та допомагають лікуючому лікарю обрати вірну тактику.
Останні новини


