Випадок місяця: Первинна ангіосаркома молочної залози
28.02.2023
Ангіосаркома становить менше 0,05% від первинних злоякісних утворень молочної залози, однак, є найчастішою саркомою грудної залози.

Зустрічаються у двох формах: первинна та післяпроменева. Обидві мають багато спільних ознак, але розрізняються у певних клінічних, імуногістохімічних та терапевтичних аспектах.
Середній вік пацієнток з первинною ангіосаркомою становить 40 років. Пухлина має високу частоту місцевих рецидивів, в порівнянні з післяпроменевими ангіосаркомами, віддалених метастазів. Найчастіше пухлина метастазує у легені, шкіру, кістки, печінку.
До лабораторії надійшов матеріал секторальної резекції молочної залози пацієнтки 43 років з клінічним діагнозом «Вогнищевий фіброаденоматоз правої молочної залози». В анамнезі променева терапія відсутня.
При макроскопічному дослідженні матеріалу тканина сектору молочної залози була представлена фіброзною тканиною без чітких меж та вузлових утворень.
При мікроскопічному дослідженні тканина залози представлена численними анастомозуючими щілеподібними порожнинамии, що дифузно інфільтрують залозисту і жирову тканину молочної залози. Порожнини вистелені дещо сплощеним ендотелієм, ядра ендотеліальних клітин гіперхромні, фігури мітозів в них поодинокі. Ознак формування папіллярних вип’ячувань ендотелію в просвіт судин, формування солідних ділянок пухлини не визначалось. Пухлинні судини визначаються у інтралобулярній стромі, що є важливим моментом у діагностиці первинних ангіосарком молочної залози.
Ангіосаркоми молочної залози, на відміну від ангіосарком м’яких тканин, градуються за трирівневою системою градації. За ступенем злоякісності представлена пухлина є G1.

Рис. 1. Просвіти судин мають витягнуту, здавлену або вузлувату форму. Судини дифузно розташовані у паренхімі молочної залози.

Рис.2 Мережа розгалужених тонкостінних судин, що анастомозують між собою.

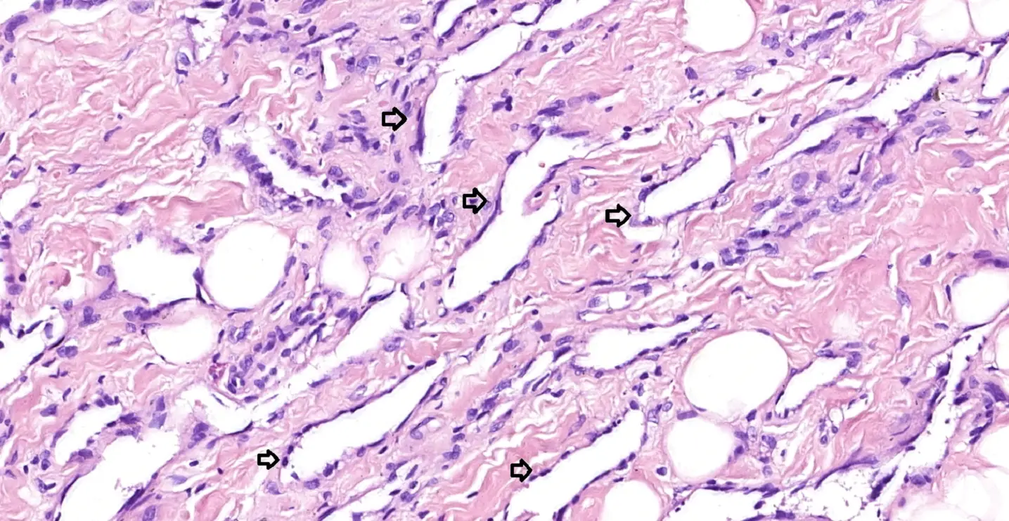
Рис. 3. Стрілками відзначені просвіти пухлинних судин. Ендотеліальні клітини сплощені, непомітні ядра, можна виявити клітини з гіперхромними ядрами, ядерна атипія мінімальна.
Диференційний діагноз, насамперед, включає гемангіому. Відрізнити ангіосаркому високого ступеню злоякісності від гемангіоми нескладно, але пухлини низького або середнього ступеню злоякісності можуть викликати труднощі. Гемангіома – це зріла пухлина, вона складається з повністю розвинених судин правильної форми, ендотелій не має жодних ознак цитологічної атипії.
Методом первинного лікування таких пацієнтів є мастектомія. Ефект від ад'ювантного опромінення у первинному лікуванні ангіосаркоми молочної залози не встановлений. Післяопераційне лікування може включати радіотерапію та хіміотерапію.
Прогноз даних пухлин є несприятливим, однак, ряд досліджень показує взаємозв'язок між ступенем злоякісності пухлини та 5-річною виживаністю. Ймовірність системного рецидиву становить 50%.
Враховуючи, що ангіосаркома є дуже агресивною за перебігом, кожному патологу необхідно чітко знати про можливість наявності цієї пухлини в молочній залозі, її мікроскопічні характеристики. Особливо важливо хірургам-мамологам при наявності раку молочної залози в анамнезі, при повторній операції надавати патологу інформацію щодо опромінення, оскільки післяпроменеві ангіосаркоми зустрічаються частіше, ніж первинні.
Анета Гандрабур
Лікар-патологоанатом
Медичної лабораторії CSD LAB
Останні новини


