Случай месяца: склерозирующая пневмоцитома
30.08.2022

Очередной кейс в рубрике "Случай месяца": редкая доброкачественная опухоль легкого - склерозирующая пневмоцитома, о которой рассказывает врач-патологоанатом CSD Людмила Журавлева.
Знание данной нозологической единицы необходимо для каждого врача-морфолога, поскольку ее часто путают со злокачественными опухолями и, как следствие, выполняют нецелесообразные лобэктомии легкого. Одной из особенностей диагностики данной опухоли являются сложности при интерпретации цитологических препаратов - в препаратах отсутствуют характерные архитектурные особенности, а морфологическая картина крайне сходна с метастазами карциномы, в частности метастаза папиллярной карциномы щитовидной железы. Также при выполнении интраоперационных исследований при подозрении на аденокарциному легких патоморфолог должен включать склерозирующую пневмоцитому в свой дифференциальный диагноз.
Материал был направлен в лабораторию с клиническим диагнозом "карцинома легких", пациентка - женщина среднего возраста,типичная для эпидемиологии данной опухоли.
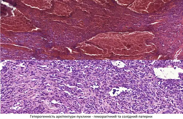
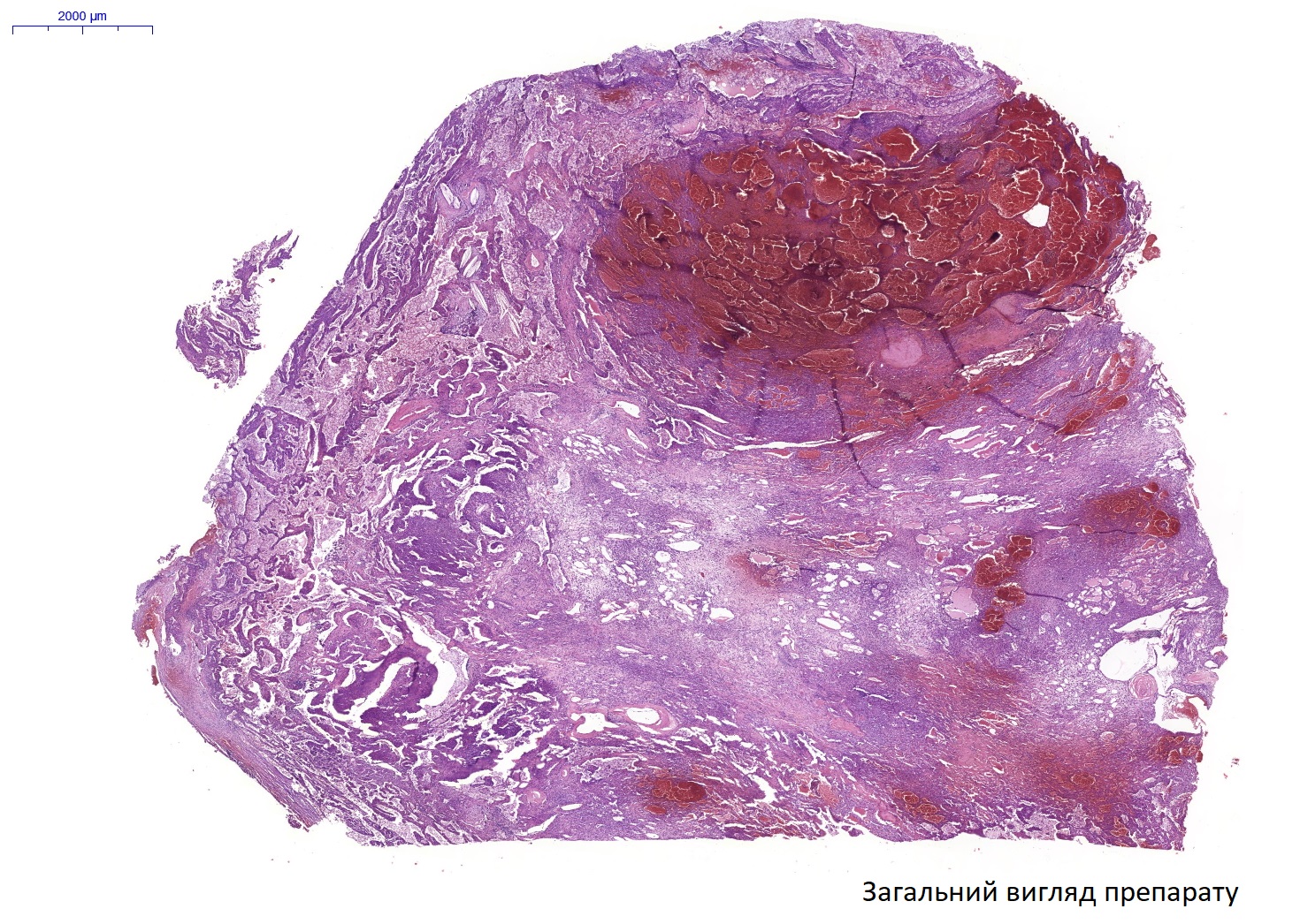
В результате предварительной фрагментации материала оценить границы образования достаточно трудно; обычно эта опухоль имеет четкие границы и не окружена капсулой. Однако сразу заметна типичная гетерогенность архитектуры: участки геморрагий, участки солидного роста, участки подобные папиллярному росту и т.д.
По периферии опухоли в ткани легкого определяется большое количество пенистых макрофагов и холестериновых клефтов.

Опухоль состоит из двух типов клеток:
- поверхностные кубические клетки, напоминающие альвеолоциты II типа; эти клетки могут иметь выраженный плеоморфизм и гиперхромию ядер (дифференциальный диагноз с аденокарциномой);
- округлые мономорфные клетки, расположенные в строме.
Клетки опухоли достаточно мономорфны, фигуры митоза отсутствуют или крайне единичны, некрозов не определяется. Морфологическая картина классическая, но учитывая тот факт, что пневмоцитома является достаточно нечастой нозологией в практике, для верификации диагноза было выполнено иммуногистохимическое исследование. По его результатам опухолевые клетки имеют характерный иммунофенотип: клетки обоих типов положительны на маркер TTF-1 (дифференциальный диагноз снова с аденокарциномой легкого), при реакции с маркером CK AE1/AE3 (общие цитокератины) определяется окраска только поверхностных кубических клеток.
Типичное морфологическое строение и иммунопрофиль опухоли, в совокупности с осведомленностью врача-патоморфолога по данной нозологии, позволяют воздержаться от чрезмерного лечения пациента и помогают лечащему врачу выбрать верную тактику.
Последние новости


